Аппарат для ультразвуковой диагностики (УЗИ) SonoFly-3000 позволяет получить качественное изображение сердца, его четырех камер, клапанов в движении в реальном масштабе времени. Удобство и функциональность режимов M и B+M, вычисление основных сердечных индексов - дополнительные аргументы при выборе SonoFly-3000 в качестве рабочего места врача-кардиолога.
При ультразвуковом исследовании сердца (эхокардиографии) оценивают особенности строения сердца и сосудов, размеры полостей, его сократительную функцию, расположение и диаметр сосудов. Диагностируются пороки сердца, нарушения сократимости миокарда при ишемической болезни сердца, гипертрофия миокарда, нарушение диастолической функции при артериальной гипертонии, патология миокарда и оболочек сердца.
Особую ценность при кардиологическом исследовании представляет режим М - сканирования. Такое сканирование происходит по одному, узконаправленному ультразвуковому лучу. Аппарат для ультразвуковой диагностики ( УЗИ ) SonoFly-3000 позволяет выполнять кардиологические исследования в режимах В, В+В, В+М и М.
Широкий выбор возможных для подключения УЗИ датчиков обеспечивает универсальность применения Ультразвуковой Системы SonoFly® 3000m для многих видов узи диагностики: ультразвукового исследования (узи) беременности, ультразвукового исследования (узи) щитовидной железы, ультразвукового исследования (узи) кишечника, ультразвукового исследования (узи) органов малого таза, ультразвукового исследования (узи) трансвагинального, ультразвукового исследования (узи) почек, ультразвукового исследования (узи) грудных (молочных) желез, ультразвукового исследования (узи) плода, ультразвукового исследования (узи) брюшной полости, ультразвукового исследования (узи) эхо сердца, ультразвукового исследования (узи) ребенку, ультразвукового исследования (узи) матки, ультразвукового исследования (узи) ректального, ультразвукового исследования (узи) урологического (абдоминальные исследования, акушерство, гинекология, педиатрия и т.д.).
Датчики, рекомендуемые для УЗИ сердца
| Фотография | Тип/код | Частота, МГц |
Радиус, мм |
Зона/угол обзора, мм |
Формат отображения |
Применение |
|---|---|---|---|---|---|---|
![]() |
UT-C3.5R20/64 | 3.5 | 20 | 90 | Конвексный | Абдоминальный, Кардиология |
![]() |
2-4/30ED | 2.0...4.0 | 30 | 80 | Конвексный | Абдоминальный, Кардиология |
Возможности аппарата для ультразвуковой диагностики (УЗИ) SonoFly-3000 не ограничиваются визуализацией в режиме реального времени.
Пациент, проходящий обследование, сначала регистрируется в картотеке:

Если данные пациента были ранее внесены в картотеку, отыскать их можно при помощи удобной функции поиска.
Затем, до начала обследования, выбирается заложенная в аппаратно-программном комплеке SonoFly-3000 программа (в данном случае - кардиология):

Выбор программы до начала сканирования помогает сузить довольно обширный список измерений и расчетов, заложенный в системе, оставив только те, которые используются именно в кардиологии.
Аппарат для ультразвуковой диагностики (УЗИ) SonoFly-3000 предоставляет набор автоматических расчетов, которые помогают трактовать наблюдаемые изображения.
| Вид обследовани | Используемые измерения | Проводимые расчеты |
|---|---|---|
| Кардиология | Конечный систолический размер левого желудочка. Конечный диастолический размер левого желудочка. Частота сердечных сокращений. Рост пациента. Вес пациента. |
Конечный систолический объем левого желудочка. Конечный диастолический объем левого желудочка. Ударный объем. Фракция выброса. Минутный объем. Сердечный индекс. |
В режиме УЗИ - сканирования управление происходит, в основном, при помощи трекбола.
Известно, что современный аппарат для ультразвукового обследования имеет множество настроек, от состояния которых, в конечном счете, зависит качество изображения. Переход от одного вида обследования к другому требует изменения настроек, и порой существенного.
Аппарат для ультразвукового сканирования (УЗИ) SonoFly-3000 позволяет применять СХЕМЫ НАСТРОЕК, как заводские, так и пользовательские. Таким образом, выбор всего комплекса настроек для эхокардиографии не составляет труда:

В процессе сканирования можно сохранять до 10 УЗИ - изображений за один сеанс. Нанесенные на изображение маркеры, результаты измерений, необходимая служебная информация будут также сохранены на изображении.
Заключение (протокол обследования) формируется ультразвуковым аппаратом SonoFly-3000 после завершения сеанса сканирования. Протокол обследования представляет собой текстовый документ, куда автоматически включаются :
- Наименование лечебного (диагностического) учреждения.
- Данные пациента (Фамилия, пол, возраст и т.д. ).
- Дата обследования.
- Результаты измерений и расчетов.
- Шаблон текста заключения, состоящий из стандартных фраз.
Для того, чтобы при формировании протокола обследования в текст были включены результаты измерений и расчетов, необходимо вносить их в специальную память ультразвукового аппарата (УЗИ) SonoFly-3000 в процессе сканирования. Последовательность действий представлена на иллюстрациях ниже:
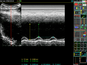
1. Проведение УЗИ - измерений

2. Фиксация в протоколе результатов УЗИ - измерений

3. Наблюдение результата расчета

Все манипуляции выполняются при помощи трекбола, занимают минимум времени и не требуют ручного набора чисел или текста. Такой подход сокращает число ошибок при вводе, позволяет сократить время обследования и подготовки заключения.
Сформированный программой протокол обследования может выглядеть примерно так:
Протокол ультразвукового обследования.
Петров Анатолий Тихонович
Муж. Возраст: 32. Рост :178 см. Вес :85 кг.
Дата обследования: 12.05.2004 13:39
Данные, полученные при обследовании:
Конечный диастолический размер левого желудочка = 57 mm
Конечный систолический размер левого желудочка = 43 mm
Частота сердечных сокращений = 71.0 min-1
Конечный диастолический объем ЛЖ = 163.2 ml
Конечный систолический объем ЛЖ = 86.5 ml
Ударный объем = 76.7 ml
Фракция выброса = 47.0 %
Минутный объем = 5.450 l/min
Сердечный индекс = 2.683
Кальциноз основания задней створки митрального клапана.
Сократительная способность миокарда снижена.
Зоны асинергии не выявлены.
Нижняя полая вена не изменена.
Брюшная аорта не изменена.
Наличия жидкости в плевральных полостях не обнаружено.
Наличия жидкости в полости перикарда не обнаружено.
Заключение: Кальциноз митрального кольца, выраженный умеренно.
Врач Падалко Р.В. /_________________/
[ Назад ]

